ТІ САМІ ВІДКРИТТЯ, АЛЕ В КАРТИНКАХ 🔬 NAUKA.UA В INSTAGRAM

Блокування тестостерону одразу після народження захистило мишей від атрофії м'язів у дорослому віці

Блокування мутованих рецепторів до тестостерону одразу після народження захистило самців мишей від хвороби Кеннеді — рідкісної атрофії м’язів, яка виникає у чоловіків у середньому та старшому віці. Спалах вироблення тестостерону після народження, який спостерігають як у мишей, так і в людей, виявився ключовим спусковим гачком розвитку цієї хвороби. Тому науковці сподіваються, що блокування мутованих рецепторів після народження допоможе запобігти розвитку цієї атрофії м’язів і в людей, які є носіями відповідної мутації. Дослідження опублікували в журналі Nature Communications.

Людський рецептор до чоловічих гормонів, зокрема тестостерону. Мутація в ньому призводить до хвороби Кеннеді. Wikimedia Commons

Людський рецептор до чоловічих гормонів, зокрема тестостерону. Мутація в ньому призводить до хвороби Кеннеді. Wikimedia Commons

Від якої хвороби лікували мишей?

Хвороба Кеннеді, або спінально-бульбарна м’язова атрофія, виникає у чоловіків у віці 30-50 років і починається з тремору чи слабкості кінцівок. Поступово атрофія м’язів посилюється, через що виникають параліч кінцівок і труднощі з говорінням та ковтанням. Разом із цим проявляється порушення роботи чоловічих статевих гормонів: еректильна дисфункція, атрофія сім’яників і гінекомастія, тобто збільшення молочних залоз. Усі ці симптоми, разом із поширеністю хвороби в чоловіків, вказали на залученість тестостерону в розвитку хвороби, тож дослідники вже з’ясували, що її спричиняє накопичення мутованого рецептора до чоловічих статевих гормонів у нервових клітинах.

Але зазвичай тремор, перший передвісник хвороби Кеннеді, виникає у пацієнтів щонайменше за 10 років до того, як з’являться інші, серйозніші симптоми. Це підказало науковцям, що хвороба розвивається поступово, як і накопичення мутованого рецептора в нервових клітинах. Тому дослідники з Медичного інституту при Наґойському університеті в Японії вирішили вивчити, чи можна запобігти розвитку хвороби ще на ранніх стадіях життя.

Які ліки захистили мишей від хвороби Кеннеді?

Дослідження проводили на мишах із мутацією, яка у людей є причиною хвороби Кеннеді. При цьому мутацію ввели як самцям, так і самицям мишей, щоб дослідити, як статеві гормони впливають на перебіг хвороби. Оскільки у самиць мишей хвороба не проявилася, науковці підтвердили, що саме тестостерон залучений у її розвитку. Використовуючи антитіла, що зв’язуються з мутованими рецепторами до тестостерону, дослідники з’ясували, що вже на ранніх етапах життя в клітинах спинного мозку та скелетних м’язів самців накопичуються ці мутовані рецептори. Але лише у віці 13 тижнів, коли в мишей проявлялися серйозні симптоми хвороби Кеннеді, ці мутовані білки-рецептори збиралися в агрегати, порушуючи роботу клітин.

Науковці з’ясували, що введення додаткового тестостерону на ранніх етапах життя мишей зменшувало шанси на виживання самців із хворобою Кеннеді та погіршувало симптоми в мишей обох статей, які мали мутований рецептор до тестостерону. Так вони підтвердили, що ранній сплеск тестостерону, який у самців мишей триває близько 10 днів, а в людських немовлят — до шести місяців, відіграє ключову роль у запуску розвитку хвороби Кеннеді.

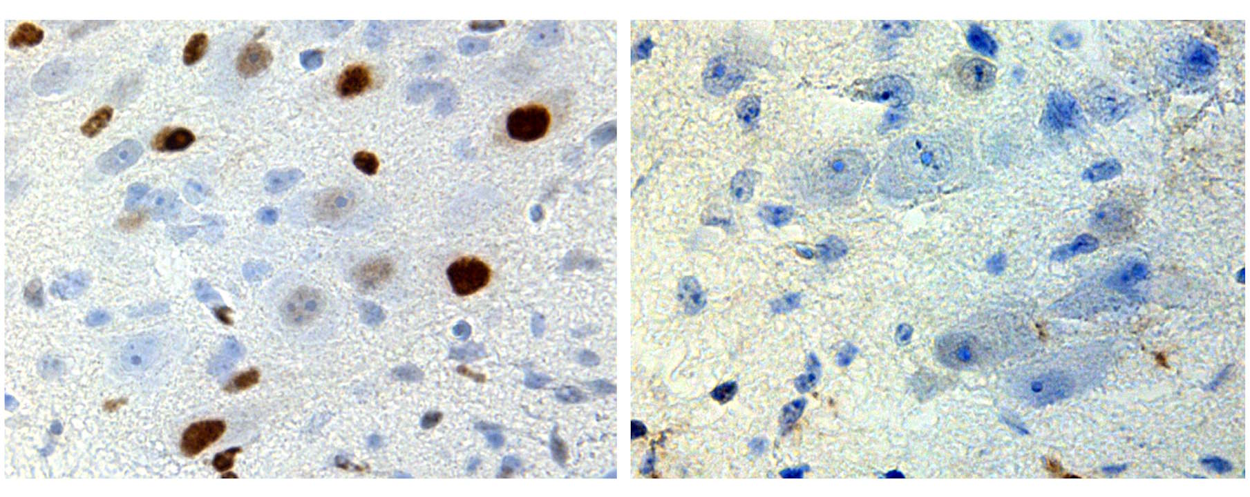
Накопичення мутованого рецептора до тестостерону (зафарбований коричневим) було значно помітнішим у самців мишей (зліва), ніж у самиць (справа), що вказало на ключову роль гормона в розвитку хвороби Кеннеді. Hirunagi et al. / Nature Communications, 2026

Накопичення мутованого рецептора до тестостерону (зафарбований коричневим) було значно помітнішим у самців мишей (зліва), ніж у самиць (справа), що вказало на ключову роль гормона в розвитку хвороби Кеннеді. Hirunagi et al. / Nature Communications, 2026

Щоб заблокувати дію тестостерону, дослідники використали терапію антисенсовими нуклеотидами. Такі препарати блокують синтез мутованих білків і їх уже схвалили для лікування різних м’язових атрофій. Науковці ввели новонародженим мишенятам у спинномозкову рідину препарат з антисенсовими нуклеотидами, який блокував синтез мутованого рецептора до тестостерону. Після цього в мишенят тимчасово знизилася концентрація мутованого рецептора, чого було достатньо для запобігання м’язовій атрофії у дорослому віці.

Мишенятам також вводили інший препарат — він діяв на білок нейронів REST4, робота якого була пригнічена через активність мутованого рецептора. Відновлення роботи цього білка виправило надмірну активність генів у мотонейронах, що посилають сигнали до м’язів. Це також збільшило шанси мишенят на виживання та їхню рухливість, запобігши проявам атрофії у старшому віці.

Як досліди на мишах допоможуть у лікуванні людей?

Оскільки дослідження проводили на мишах із тією ж мутацією, що призводить до хвороби Кеннеді в людей, то й використаний на них препарат може бути ефективним для людей. Хоча науковці й раніше знали, що хвороба Кеннеді розвивається задовго до появи симптомів, тепер вони показали, що раннє втручання може зменшити її прояви в дорослому віці чи взагалі запобігти їм. Таким чином, якщо препарат виявиться безпечним і ефективним для людей, його зможуть вводити немовлятам, які народжуються з відповідною мутацією.

Як лікують м’язові атрофії

💉 Препарат для боротьби зі спінальною м’язовою атрофією вперше випробували на підлітках — досі його вводили лише у віці до двох років.

🐭 А на мишах протестували інший підхід до лікування цієї хвороби: замість введення нового гена науковці просто модифікували вже наявний.

🧬 Технологію генетичного редагування CRISPR застосували для боротьби з іншою рідкісною хворобою — міотонічною дистрофією в мишей.

✅ Тим часом у США схвалили першу генну терапію для лікування м'язової дистрофії Дюшена — важкого спадкового захворювання, що порушує роботу м'язів.