Терапія електричними полями збільшила шанси на виживання пацієнтів з неоперабельними пухлинами мозку
Терапія електричними полями в поєднанні з імуно- та хімієтерапією збільшила шанси на виживання хворих з агресивним раком мозку — гліобластомою. Особливо ефективним таке лікування виявилося для людей, яким не могли видалити пухлину хірургічним шляхом через її розташування. Новий метод мають ще випробувати на більшій кількості пацієнтів, але він уже має потенціал збільшити шанси на видужання у хворих, яким не підходять стандартні методи. Дослідження опублікували в журналі Med.

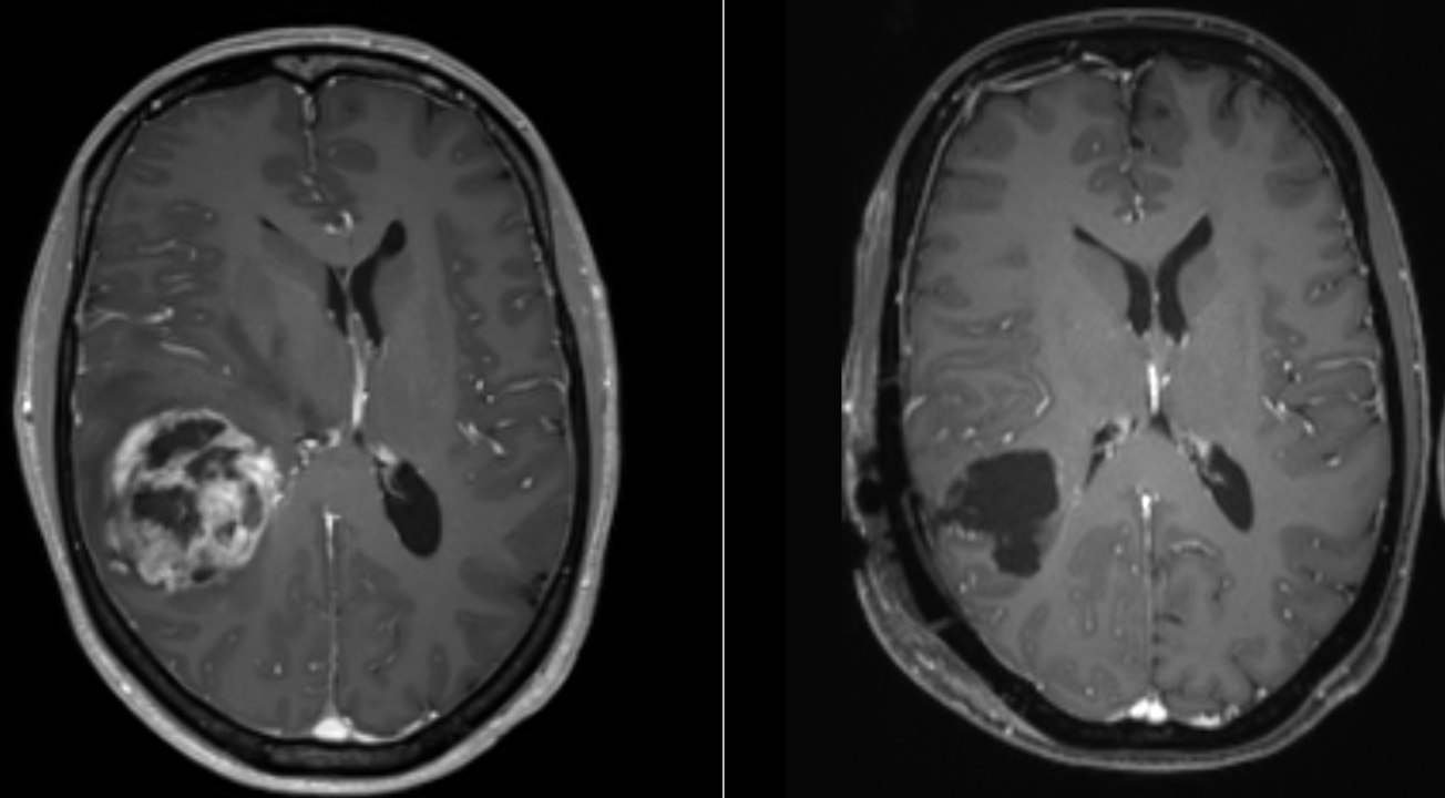
Пухлина гліобластоми до (зліва) та після (справа) видалення. Ars Neurochirurgica / Wikimedia Commons
Як електричні поля покращили ефективність терапії раку?
Науковці провели другу фазу клінічних випробувань терапії електричними полями в поєднанні з імунотерапією та хімієтерапією на 26 пацієнтах з гліобластомою. Для імунотерапії використовували препарат, що пригнічує одну з контрольних точок імунної системи, тим самим збільшуючи силу імунної відповіді. У поєднанні з терапією електричними полями це сприяло накопиченню поблизу пухлин імунних клітин Т-лімфоцитів, яким іншим способом складно було потрапити з крові в мозок через бар’єр між ними.
Порівняно зі звичайним поєднанням імуно- та хімієтерапії, додаткове застосування терапії електричними полями збільшувало шанси на виживання на 70 відсотків. При цьому пацієнти жили без рецидивів у середньому на шість місяців довше за тих, хто лікувався традиційним способом. Ті пацієнти, у яких залишилися великі неоперабельні пухлини, жили на 13 місяців довше за тих, кому гліобластому повністю видалили. Імовірно, це пов’язано з тим, що більша пухлина спричиняє активнішу імунну відповідь. Третю фазу випробувань нової терапії планують провести до 2029 року за участі майже 800 пацієнтів, щоб оцінити її ефективність на різних стадіях хвороби.
Як борються з агресивним раком мозку
🧠 Доставити ліки для хімієтерапії гліобластоми в мозок людей змогли за допомогою ультразвуку, який збільшив проникність бар’єра між кров’ю та мозком.
💪 Експериментальна імунотерапія з використанням модифікованих Т-лімфоцитів зменшила в пацієнта пухлини гліобластоми всього за кілька днів після введення.
🐭 Поширений антидепресант вортіоксетин виявився здатним сповільнювати ріст клітин гліобластоми та зменшувати її пухлини в мозку мишей.
📖 Про те, як науковець поборов гліобластому розробленим ним же методом імунотерапії, ми розповідали в матеріалі «Сам собі піддослідний».