ТІ САМІ ВІДКРИТТЯ, АЛЕ В КАРТИНКАХ 🔬 NAUKA.UA В INSTAGRAM

Семирічний хлопчик з Афганістану помер від спричиненого кором рідкісного запалення мозку

Американські лікарі описали випадок семирічного хлопчика, який помер внаслідок рідкісного запалення головного мозку, спричиненого вірусом кору. Хвороба розвивалася в нього з семи місяців, а заразився він в Афганістані, де кір є ендемічним захворюванням. Таке запалення мозку є невиліковним, але запобігти йому може вакцинація від кору. Про випадок розповіли в статті The New England Journal of Medicine.

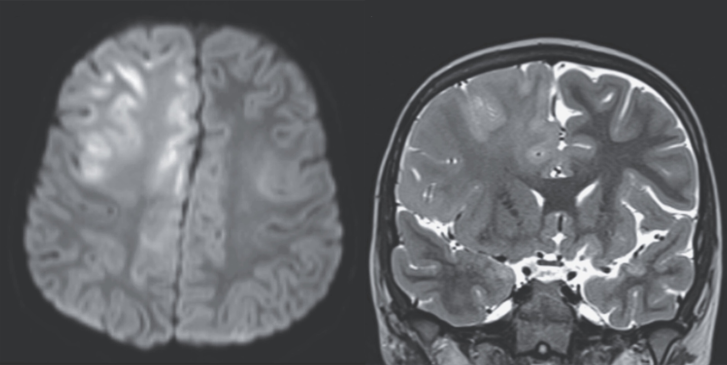
Набряк мозку на знімках магнітно-резонансної томографії голови хлопчика. Kung & Crawford / The New England Journal of Medicine, 2026

Набряк мозку на знімках магнітно-резонансної томографії голови хлопчика. Kung & Crawford / The New England Journal of Medicine, 2026

Як хвороба вплинула на розвиток хлопчика?

До педіатрів звернулися батьки семирічного хлопчика, у якого протягом останніх трьох місяців почали погіршуватися розумові здібності та з’явилися судоми. Під час обстеження лікарі виявили у нього надмірні прояви рефлексів і клонус — мимовільні ритмічні скорочення та розслаблення м’язів, окрім цього хлопчик не говорив. Магнітно-резонансна томографія мозку вказала на набряк у лобній частці кори та мозолистому тілі, а електроенцефалографія — на високочастотні спалахи мозкової активності.

У спинномозковій рідині хлопчика виявили антитіла до кору, що вказало на підгострий склерозуючий паненцефаліт — ураження мозку, яке розвивається приблизно у 5-10 з мільйона пацієнтів із кором. Частіше воно трапляється саме в дітей і підлітків чоловічої статі, які перенесли інфекцію в ранньому віці. Хвороба є прогресуючим запаленням мозку, а до появи симптомів можуть минути роки, але наразі вилікувати її неможливо, тому хлопчик помер за рік після перших симптомів.

  • Іншим вірусом, який може призводити до запалення в мозку, є вірус герпесу. Його вже пов’язали з тривожністю та погіршенням розумових здібностей, а повторювані травми голови змогли його «розбудити», призвівши до хвороби Альцгеймера.
  • Запалення в мозку виявилося причиною втрати мотивації у пацієнтів з раком, попри те, що раніше цей стан пояснювали загальним занепадом сил.