ТІ САМІ ВІДКРИТТЯ, АЛЕ В КАРТИНКАХ 🔬 NAUKA.UA В INSTAGRAM

Інсульт допоміг виявити вроджену відсутність сонної артерії в літньої британки

Британка у віці за 50 років після падіння з коня звернулася до лікарів із класичними проявами інсульту: асиметричним виразом обличчя через слабкість м’язів із правого боку та труднощами у мовленні. Під час обстеження в неї виявили вроджену відсутність лівої сонної артерії. Але лікарям не вдалося пов’язати цю патологію чи падіння з коня з інсультом, тож його причина залишилася невстановленою. Про випадок розповіли у статті BMJ Case Reports.

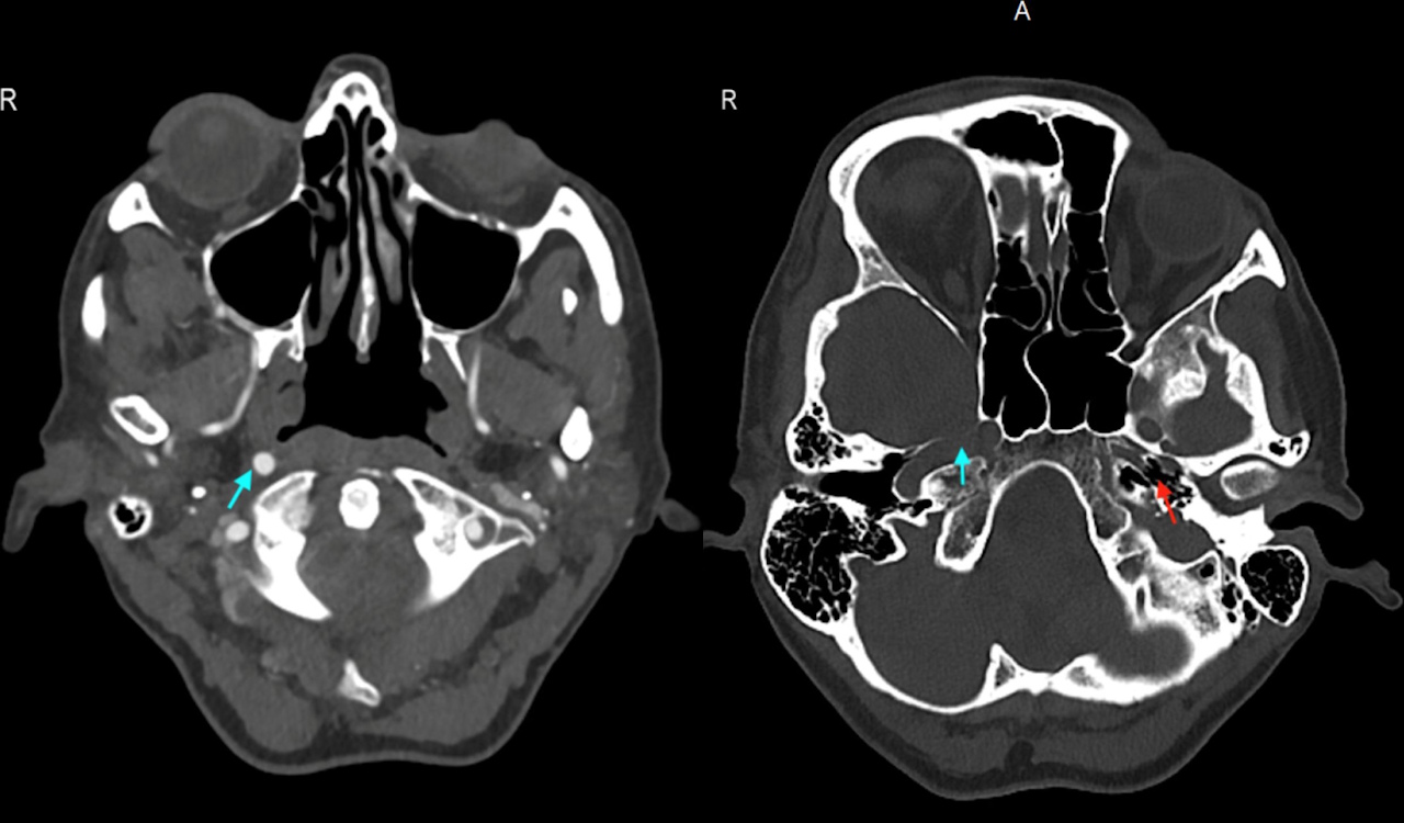
Права сонна артерія та правий канал у кістці жінки були нормально розвинені (блакитні стрілки), ліва внутрішня сонна артерія була відсутньою, а лівий канал — недорозвиненим (червона стрілка). Lai & Ratnayake / BMJ Case Reports, 2025

Права сонна артерія та правий канал у кістці жінки були нормально розвинені (блакитні стрілки), ліва внутрішня сонна артерія була відсутньою, а лівий канал — недорозвиненим (червона стрілка). Lai & Ratnayake / BMJ Case Reports, 2025

Що вдалося дізнатися про причини відсутності сонної артерії й інсульту?

Після потрапляння до лікарні стан пацієнтки оцінили за шкалою інсультів Національного інституту охорони здоров’я на три бали, що відповідає легкому інсульту. Оскільки він розвинувся після падіння з коня, лікарі припустили, що під час цього відбулася травма судин у мозку з крововиливом, але на комп’ютерній томографії голови жінки таких патологій не виявили. Натомість на знімку не було видно лівої внутрішньої сонної артерії, тож медики припустили, що саме вона пошкоджена чи заблокована тромбом.

Але після ангіографії, тобто сканування судин, і повторного перегляду знімків комп’ютерної томографії лікарі виявили, що в пацієнтки від народження не було цієї артерії. На це вказав недорозвинений канал лівої сонної артерії у скроневій кістці. На знімках комп’ютерної томографії в жінки виявили лакунарний інсульт — відмирання нервових клітин у невеликій ділянці в глибинних структурах мозку. Позаяк у пацієнтки не було порушень мозкового кровообігу, попри відсутність внутрішньої сонної артерії, як і факторів ризику інсульту, таких як шкідливі звички та високий рівень холестерину в крові, то причиною інсульту назвали хворобу малих судин невідомого походження.

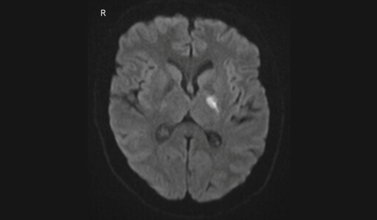
Світла пляма позначає відмерлі внаслідок інсульту нервові клітини в мозку жінки. Lai & Ratnayake / BMJ Case Reports, 2025

Світла пляма позначає відмерлі внаслідок інсульту нервові клітини в мозку жінки. Lai & Ratnayake / BMJ Case Reports, 2025

Жінці призначили високі дози аспірину на два тижні для відновлення після інсульту. Крім цього, до кінця життя їй порадили приймати препарати для розрідження крові та зниження рівня холестерину, щоб запобігти повторним інсультам. За дев’ять місяців після виписки вона повністю відновилася та не мала нейрологічних наслідків інсульту.

Із якими незвичними випадками інсульту стикалися лікарі

👀 У 70-річного шведа ознакою пережитого інсульту стало зміщення поля зору вправо щоразу після кліпання. Після виписки чоловік пережив ще декілька безсимптомних інсультів.

😱 А молодий американець пережив аж три інсульти одночасно — усе через невдалий поворот голови під час гри у піклбол, внаслідок чого в нього розірвалася ліва хребетна артерія.

🧠 Для відновлення здатності рухати рукою після інсульту двом пацієнткам провели стимуляцію спинного мозку. А говорити без затримки жінці допоміг імплант у мозку зі штучним інтелектом.