Інсульт спричинив у 70-річного шведа зсув поля зору щоразу після кліпання
Шведські лікарі описали незвичні прояви інсульту в 70-річного пацієнта: щоразу після кліпання в нього на декілька секунд трохи зміщувалося поле зору, ніби кімната посунулася правіше. Крім цього, чоловік також трохи відхилявся праворуч під час руху. З’ясувавши діагноз, лікарі прописали йому ліки для запобігання утворенню тромбів у судинах, які є причиною інсульту, та порекомендували продовжити приймання ліків від високого тиску, що теж може бути фактором ризику інсульту. Про випадок розповіли в статті BMJ Case Reports.

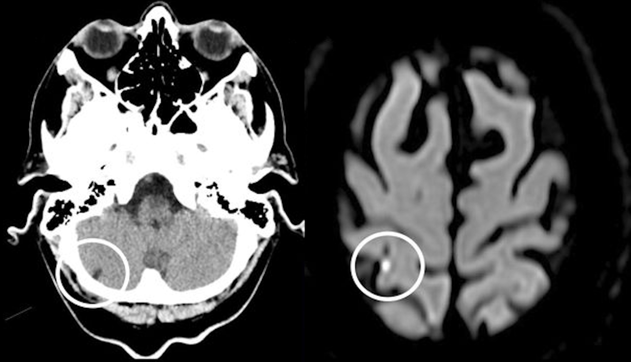
Інфаркт у мозочку (зліва) та інсульт у тім'яній частці (справа) мозку чоловіка. Ronnevi & Moreira / BMJ Case Reports, 2025
Як дізналися причину нездужання чоловіка?
За пів року до інсульту чоловік звертався до лікарні з раптовою та тимчасовою втратою зору в правому оці та інфарктом правої частини мозочка, тобто відмиранням частини тканин через порушення їх кровопостачання. Лікарі відкинули можливість того, що стан чоловіка спричинили ліки від раку, які він приймав до того, лікуючись від раку в травній системі, який походив із клітин нервової та ендокринної систем. Тоді йому прописали ліки, які запобігають злипанню тромбоцитів, і препарати для зниження тиску.
Вдруге потрапив до лікарні чоловік після того, як відчув нудоту, запаморочення та труднощі з фокусуванням зору через постійний зсув його поля. У пацієнта не виявили порушення роботи черепних нервів, зокрема пов’язаних із рухом очей, а також симптому Бабінскі, який вказує на порушення зв’язку кори головного мозку зі спинним мозком. Магнітно-резонансна томографія мозку вказала на ішемічний інсульт із невизначеним джерелом крововиливу в тім’яній частці, яка відповідальна за обробку візуальної та просторової інформації. У три місяці після виписки чоловік пережив ще декілька невеликих безсимптомних інсультів, але після правильного вибору ліків уже не мав порушень зору та руху.
Які незвичні причини є для погіршення зору
🫁 Індійські лікарі описали випадок, коли раптова втрата зору на одному оці стала єдиним проявом раку легень у жінки.
🐝 Американець пережив значне погіршення зору, який так і не відновився повністю, після того, як його в око вжалила бджола.
🎣 А в китайця майже відновилися зір і здатність рухати оком після того, як лікарі витягли з його ока риболовецьке грузило.