Випадкова загибель лабораторної культури морських інфузорій дозволила біологам виявити новий організм, настільки малий, що в присутності інших одноклітинних його просто не виявляли. Цей сонцеподібний організм виявився носієм мітохондрій з еволюційно давнім геном, який раніше вважали втраченим. За такі особливості його віднесли до новоствореної супергрупи живих організмів, до якої внесли ще декілька існуючих родів мікроскопічних організмів, які також ведуть прихований спосіб життя. Дослідження опублікували в журналі Nature.

Схема будови клітини сонцеподібного організму Solarion arienae з ядром (nu), мітохондріями (m), і комплексом (mc), який дозволяє відросткам клітини захоплювати здобич, бактерії (ba). Valt et al. / Nature, 2025
Чим незвичні нові організми?
Загальновизнаною теорією походження мітохондрій — енергетичних станцій клітини — є поглинання одноклітинними організмами бактерій. Ці бактерії втратили більшість свого геному, але зберегли гени, які необхідні для процесів клітинного дихання, що й забезпечує клітину енергією.
Хоча такий симбіоз посприяв появі складних одноклітинних, а згодом і багатоклітинних організмів, до кінця не відомо, як саме бактерії пристосовувалися до життя всередині клітин інших організмів. Однак міжнародна команда науковців на чолі з фахівцями Карлового університету в Празі змогла вивчити еволюційно давні одноклітинні організми, чиї мітохондрії зберегли риси своїх предків-бактерій.
Які риси дозволили віднести новий організм до окремої супергрупи?
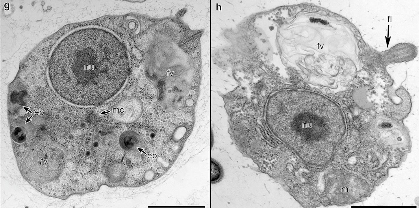
Після загибелі анаеробних морських інфузорій у лабораторній культурі науковці виявили в ній одноклітинні організми, що були сторонніми забрудниками, яких не помічали протягом декількох років. Їхній прихованості посприяло те, що вони мали крихітні розміри та майже не рухалися. Ранній філогенетичний аналіз, тобто вивчення спорідненості за геномом, не виявив близьких родичів цих організмів, який віднесли до нового роду та виду — Solarion arienae. Ці організми мають дві форми клітин — сонцеподібну та зі джгутиком, причому остання не має аналогів серед інших джгутикових організмів.

Дві форми клітин Solarion arienae — сонцеподібна (зліва) та зі джгутиком і хвостом (справа). Valt et al. / Nature, 2025
Свою назву рід Solarion отримав за сонцеподібні відростки, селестіосоми, які ці організми використовують для захоплення здобичі — бактерій. Такі відростки виявляли і в інших одноклітинних організмів, Meteora sporadica. Під час повторного філогенетичного аналізу цей вид виявився спорідненим із Solarion, тож їх віднесли до нового типу організмів — селестів (Caelestes). Разом з іншими спорідненими організмами селестів віднесли до нової супергрупи диспаріїв (Disparia), яка, своєю чергою, належить до вже відомої мегагрупи одноклітинних — діафоретиків (Diaphoretickes). До цієї групи входить більшість здатних до фотосинтезу організмів, зокрема наземні рослини.

Електронна мікроскопія клітин Solarion, коли вони не викидають сонцеподібні відростки для захоплення здобичі. Valt et al. / Nature, 2025
Однак найбільше науковців здивував геном мітохондрій цього нового виду. Він містив декілька генів, які в більшості організмів знаходяться у ядрі. Це свідчить про те, що в ході еволюції їхнього симбіозу бактерії, які пізніше стали мітохондріями, поступово віддавали корисні гени ядру клітини-хазяїна, стаючи залежними від синтезу білків у цій клітині, так само як клітина залежна від вироблення ними енергії. Окрім цього, у мітохондріальному геномі Solarion знайшли ген secA, залучений до транспорту речовин через мембрану мітохондрій. Цей ген походить від альфапротеобактерій — спільного предка мітохондрій в організмах із ядром.
Як відкриття змінює уявлення про еволюцію земних організмів?
Виявлення нової супергрупи організмів допоможе краще зрозуміти, як розвивалися нові риси в земних організмів і чому одні еволюційні гілки привели до появи складних багатоклітинних форм живого, а інші — ні. Крім цього, вивчення одноклітинних організмів із їхніми пристосуваннями важливе для створення нанороботів і дослідження умов, що необхідні для появи життя. А оскільки сліди геному виду Solarion arienae знайшли у морських зразках із різних частин світу, то науковці планують дослідити їхню роль в екосистемах, особливо в умовах глобального потепління та закислення океанів.
Як досліджують походження життя на Землі
🦠 Як вважають науковці, найдавніші форми життя на Землі могли бути безформними, адже не були обмеженими клітинною стінкою.
🤷♀️ Хоча мітохондрії вважають обов’язковим атрибутом клітин із ядром, науковці знайшли ядерний організм без них.
🧪 Як і мітохондрії, хлоропласти також походять від бактерій — і біологи спробували відтворити їхній симбіоз з одноклітинними дріжджами.
🫠 Симбіоз між одноклітинними організмами зустрічається й зараз, але глобальне потепління порушило такі вигідні взаємозв’язки інфузорій і водоростей.