В американця віком за 70 років знайшли пухлину легень на місці вогнепального поранення, отриманого 45 років тому. Хоча чоловік мав інші фактори появи раку, зокрема курив у середньому віці, запустила ракове новоутворення саме куля, фрагменти якої знайшли в пухлині. Його прооперували та провели хімієтерапію, після чого чоловік уже три роки не має жодних слідів раку. Про випадок розповіли в журналі BMJ Case Reports.

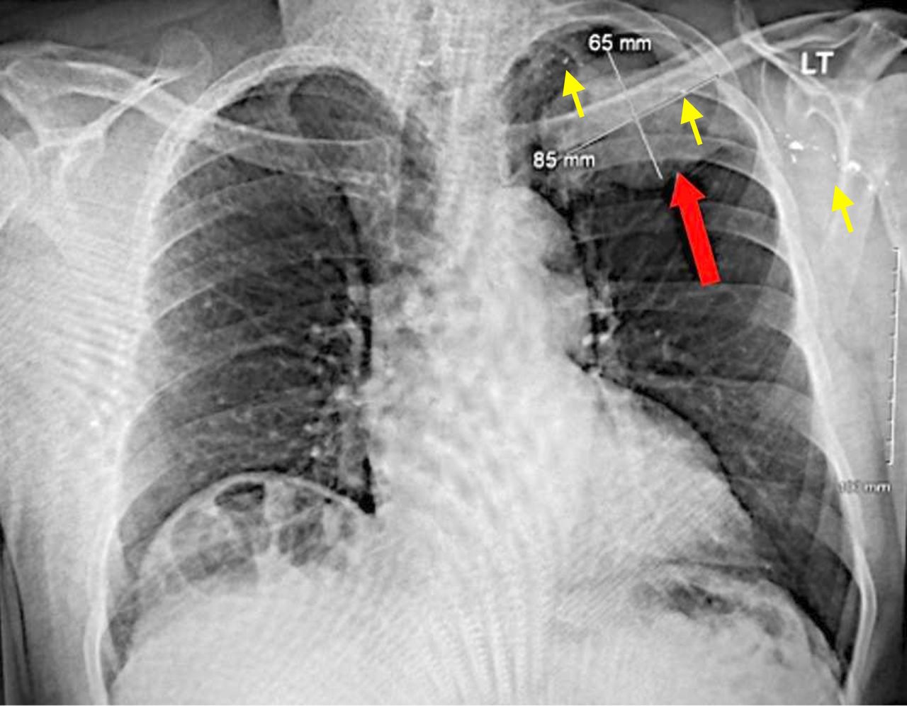
Рентгенівський знімок пухлини в легені (позначена червоною стрілкою) і фрагментів кулі (жовті стрілки). Bartholomew et al. / BMJ Case Reports, 2025
Як чоловіку поставили діагноз?
Пацієнт звернувся до лікарні через тривалий кашель і задишку, попри те, що до цього мав гарне здоров’я та самопочуття. Однак під час огляду в нього виявили пухлину розміром понад сім на сім сантиметрів, а також фрагменти кулі в пухлині, районі пахви та середостіння — простору між оболонками двох легень. Чоловік отримав кульове поранення під час виконання обов’язків, але тоді кулю не витягли, а пацієнта за місяць виписали додому.

Позитронно-емісійна томографія чоловіка, на якій видно пухлину, клітини якої мають активний обмін речовин, через що й підсвічуються. Bartholomew et al. / BMJ Case Reports, 2025
Лікарі взяли зразки тканин із пухлини та з’ясували, що чоловік мав дрібноклітинний рак легень, який складає приблизно 15 відсотків усіх випадків раку легень. Обстеження не виявило в пацієнта метастазів у мозку чи інших органах, тому хірурги вирішили видалити пухлину під час операції. Хоча спершу чоловік одужував повільно, а також йому довелося обмежити активність через видалення значної частини легені, пацієнт перебуває в ремісії.
Хоча вже відомі випадки, коли травми призводили до розвитку раку, досі дрібноклітинний рак легень пов’язували здебільшого з курінням. Тож випадок американця вказує на можливий зв’язок між цим видом раку та травмами, особливо з залученням металевих предметів, які можуть спричиняти надмірний ріст клітин і перетворення їх на ракові.
Які сліди залишають по собі постріли
🙈 У В’єтнамі знайшли рештки чоловіка, який мав додаткове ребро на шиї та отримав поранення стрілою саме в нього, через що й помер 12 тисяч років тому.
🏹 А от мешканцю Каталонії невідомої статі пощастило більше — ця людина пережила постріл у спину з лука, на що вказало частково загоєне ребро.
🐺 У Франції палеонтологи знайшли рештки частково одомашненого вовка зі слідами від пострілу з лука чи удару списом, яке йому нанесли люди, що його й одомашнили.