ТІ САМІ ВІДКРИТТЯ, АЛЕ В КАРТИНКАХ 🔬 NAUKA.UA В INSTAGRAM

Причиною задишки в американки виявився колапс трахеї — її натомість лікували від астми

Причиною задишки в 50-річної американки виявився колапс дихальних шляхів — під час видиху її трахея та центральні бронхи майже повністю закривалися. Оскільки жінка мала астму, лікарі довго не могли зрозуміти причину задишки та призначили їй інтенсивне лікування саме астми. Коли ж стан пацієнтки вдалося діагностувати, їй провели операцію за допомогою робота-хірурга, встановивши навколо її трахеї сітку для полегшення дихання. Про нього розповіли в статті The New England Journal of Medicine.

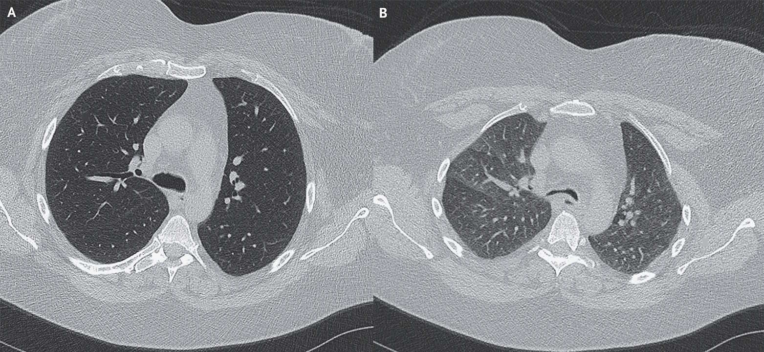
У пацієнтки діагностували колапс дихальних шляхів: коли вона видихала (В), її трахея та бронхи звужувалися на 70 відсотків порівняно зі вдихом (А). 

У пацієнтки діагностували колапс дихальних шляхів: коли вона видихала (В), її трахея та бронхи звужувалися на 70 відсотків порівняно зі вдихом (А).

Як дізналися про причину хвороби?

До лікарів звернулася 50-річна пацієнтка з астмою, ожирінням і обструктивним апное уві сні — станом, коли в положенні лежачи дихальні шляхи частково перекриваються, через що мозок отримує недостатньо кисню. Жінка протягом місяця страждала від задишки та все сильнішого сухого кашлю попри те, що приймала ліки від астми.

Щоб встановити діагноз, пацієнтці провели динамічну комп’ютерну томографію грудної клітини, протягом якої фіксували стан і положення органів на різних етапах вдиху та видиху. У жінки виявили вигин задньої стінки трахеї та верхньої частини бронхів, через що на видиху вони закривалися на 70 відсотків, порівняно зі вдихом. Пацієнтку залишили в лікарні на тиждень, де провели очищення легень від слизу та давали вночі дихати повітрям під тиском. Після цього симптоми в жінки зникли, а її саму спрямували на програму реабілітації, яка включала роботизовану операцію.

Які незвичні причини для задишки виявляли в пацієнтів

🔫 У 70-річного американця задишка виникла через пухлину легені, що з’явилася на місці старого вогнепального поранення, отриманого за 45 років до цього.

🚬 27-річний малазієць з астмою отримав задишку, гарячку, блювоту та кашель кров’ю внаслідок частого куріння електронних сигарет.

🪡 У 57-річної японки задишка, кашель і колапс легень з’явилися після сеансу акупунктури — у неї діагностували розрив оболонки легень, через який тиск навколо них не давав їй вдихнути.

🫁 51-однорічна жінка з Іспанії звернулася до лікарні з задишкою, а в неї діагностували пухлину яєчника, яка спричинила накопичення рідини в черевній порожнині, що й тиснула на легеню.

🙈 Для 20-річного швейцарця мастурбація закінчилася розривом легені, що й призвело до сильної задишки та болю в грудях.