Зі зменшенням поширеності куріння серед вагітних жінок стало менше народжень дітей із гастрошизисом — патологічним розщепленням черевної стінки, крізь яке випадає кишківник і навіть інші органи. Частота цієї патології зменшилася на третину всього за сім років. Це свідчить на користь того, що кампанії з просування здорового способу життя можуть мати непередбачуваний позитивний ефект і на частоту появи рідкісних захворювань. Результати дослідження представили на конференції Американської педіатричної академії.
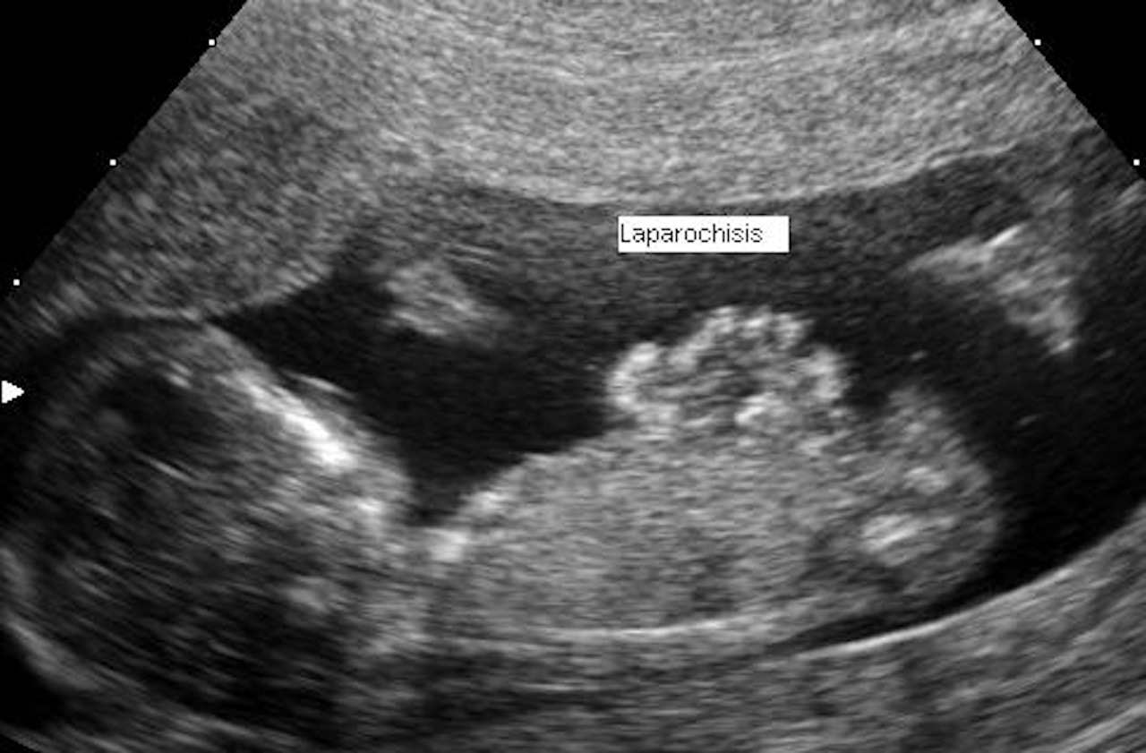
Як паління пов’язане з гастрошизисом?
Науковці й раніше знали, що паління тютюну вагітною є одним із факторів появи гастрошизису в дитини, разом із молодим віком матері, інфекціями та наявністю залежностей від наркотиків. Тому вони проаналізували дані про майже 26 мільйонів пологів, щоб з’ясувати, чи зменшення поширеності паління може запобігати й поширенню гастрошизису. У дослідженій вибірці за 2017-2023 роки було понад п’ять тисяч дітей із цим станом, причому значна їх частина (майже 17 відсотків) народилася в матерів, які курили до вагітності.
За період дослідження поширеність паління серед матерів зменшилася з 9,4 до 4,1 відсотка, а частота гастрошизису — з 2,4 до 1,6 випадку на 10 тисяч пологів. Шанси на те, що дитина народиться з патологією, збільшувалися на майже 40 відсотків із кожними 10 цигарками, які матір викурювала за день ще до зачаття дитини. І хоча біологічні причини такого зв’язку до кінця не відомі, завчасна відмова матері від паління може значно зменшити ризик появи гастрошизису в дитини
Як паління впливає на людей і їх оточення
🤰 Електронні сигарети назвали ефективним і безпечним способом кинути палити для вагітних, як і нікотинові пластирі.
🚬 А от тривалий декрет виявився пов’язаним із більшим шансом матерів почати палити.
🤯 У чоловіків, які почали палити ще в дитячому віці, діти, онуки та навіть правнуки мали більший ризик ожиріння.
