Сумуєте за літнім відпочинком, коли можна було поніжитися на сонечку і поплавати в найближчому озері чи ставку? Тоді ми йдемо до вас з історією про смертельну загрозу, яка чатує на дні теплих прісних водойм. Кажуть, вона здатна з’їсти мозок за декілька днів. Ні, ми зараз не про зомбі, а про крихітний одноклітинний організм — неглерію фоулера. У новому матеріалі із серії «Наукова історія жахів» розповідаємо про незвичний спосіб, у який цей підступний паразит інфікує людину, що насправді відбувається з організмом після ураження «амебою, що пожирає мозок» та як уберегтися від захворювання.
Цей матеріал першими прочитали наші спонсори — саме завдяки їхній підтримці ми продовжуємо працювати. Ви також можете долучитися до спільноти, щоб підтримати наукову журналістику та отримати приємні бонуси!
Прихована загроза
У 2013 році дванадцятирічна Калі Гардіґ (Kali Hardig) зі штату Арканзас проводила літні канікули, плаваючи у місцевому аквапарку. Одного дня вона випадково впала в озеро, яке було частиною розважального комплексу, і вода потрапила дівчинці в ніс. Калі спочатку не надала цьому значення, але вже ввечері стала жалітися матері на головний біль. Та припустила, що донька просто втомилася і перегрілася на сонці, тож порадила поспати.
На ранок ситуація лише погіршилася. А вже наприкінці дня у Калі підвищилася температура, її сильно нудило, і дівчинка була настільки знесилена, що не могла підняти голову. У відділенні невідкладної допомоги лікарі сказали, що Калі захворіла на грип. Однак її мати вимагала подальших обстежень і наполягала, що організм її доньки поводиться дивно. Дівчинка почала жалітися на сильний біль у шиї та світлочутливість, тож лікарі запідозрили інший діагноз — менінгіт, тобто запалення оболонок головного і спинного мозку. Цей діагноз підтвердили й визначили причину захворювання завдяки аналізу спинномозкової речовини.
Тоді лікарі повідомили батькам Калі страшну звістку: мозок їхньої доньки з неймовірною швидкістю знищує паразитична амеба неглерія фоулера (Naegleria fowleri) і найімовірніше вже до кінця тижня дівчинка помре.
Що відбувається з організмом після зараження амебою
Неглерія фоулера належить до найпростіших одноклітинних організмів і мешкає у прісноводних середовищах, таких як озера, річки, гарячі джерела та погано хлоровані басейни. Ця амеба полюбляє теплі водойми й може виживати за температури до 45 градусів за Цельсієм. Це дозволяє їй населяти тропічні й субтропічні регіони по всьому світу. Неглерія зазвичай вільно живе в мулі та харчується водоростями, але після потрапляння до організму іншого виду починає паразитувати на ньому.
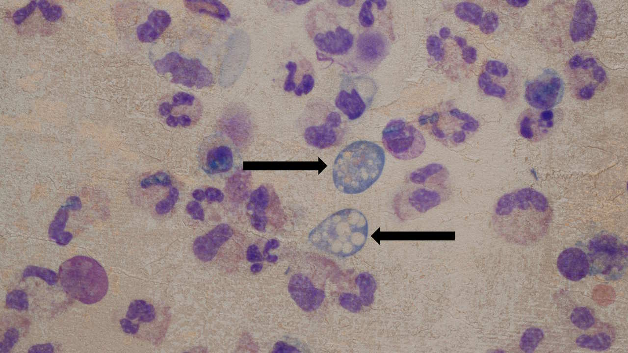
Неглерія фоулера (відмічена стрілочками) серед людських клітин. Dr. James Roberts / Children’s Healthcare of Atlanta
Відомо, що ця амеба інфікує людину в досить незвичний спосіб — через ніс. Неглерія потрапляє туди випадково разом із бризками води або під час пірнання, а тоді прикріплюється до слизової оболонки носа. Далі вона проходить крізь крихітні отвори в решітчастій кістці та починає рухатися вздовж нюхових нервів до головного мозку. Вчені вважають, що паразит орієнтується за певними хімічними речовинами, за допомогою яких нервові клітини передають сигнали між собою. У тканинах мозку неглерія активно розмножується та виділяє молекули, здатні руйнувати клітини організму-хазяїна. Це спричиняє крововиливи й некроз — саме за такий механізм дії неглерія стала відомою як «амеба, що пожирає мозок».
Інфекція провокує сильну імунну відповідь, і цим ще більше шкодить центральній нервовій системі хворих. Перші симптоми, як-от втома, нудота, головний біль і судоми, зазвичай проявляються на 1–12-й день після ураження. Далі хвороба надзвичайно швидко прогресує, що врешті призводить до підвищеного внутрішньочерепного тиску, коми та загибелі протягом 3–7 днів після появи симптомів. А оскільки прояви дуже схожі на вірусний менінгіт, справжню причину захворювання часто вдається встановити лише після смерті.
Боротьба за життя
Насправді інфікування неглерією трапляється дуже рідко: щорічно реєструють до 8 випадків. На жаль, через те, як швидко розвивається амебний менінгоенцефаліт, вчасно допомогти хворим практично неможливо. Так, у період між 1962 і 2014 роками задокументували 260 випадків інфікування, але вижили лише 11 пацієнтів і пацієнток. Саме тому, коли Калі Гардіґ діагностували первинний амебний менінгоенцефаліт, її шанси на виживання оцінювали приблизно в один відсоток. Ситуацію ускладнювало ще й те, що через рідкісність цієї хвороби не розробили дієвих протоколів лікування. Та попри всі невтішні прогнози, лікарі боролися за життя Калі.
Спочатку дівчинку ввели в медикаментозну кому, щоб зменшити запалення та набряк мозку й захистити його. У голову Калі встановили спеціальний порт, щоб вводити ліки безпосередньо в мозок. Літак із Німеччини доставив у лікарню експериментальний препарат мілтефозин, який взагалі застосовують проти лейшманіозу, але він також продемонстрував ефективність проти менінгоенцефаліту. Калі провела в комі 22 дні, але вижила. Їй знадобилося ще 55 днів у лікарні та курс реабілітації, щоб навчитися заново ходити. Життєдіяльність паразита пошкодила мозок дівчинки, але завдяки її молодому віку ураження виявилися некритичними, тож орган зміг відновити свої функції досить швидко.
Того ж року аквапарк, у якому Калі підхопила амебу, закрили. За висновками Департаменту охорони здоров’я Арканзасу, те лиховісне озеро було надто мілким і швидко нагрівалося — це зробило його зоною високого ризику. Власник сподівався знову відкрити парк, якщо буде фінансова змога покрити дно бетоном і так запобігти зараженням неглерією, однак цього так і не сталося.
Калі Гардіґ виросла і нещодавно сама стала матір’ю. Вона розповідає, що часом її ліве око бачить трохи розмито, але це чи не єдиний тривалий наслідок страшної хвороби.
Не втрачайте пильність
Амебний менінгоенцефаліт найчастіше буває в дітей і підлітків. Ймовірно, це пов’язано з тим, що в них більш пориста решітчаста кістка, крізь яку проникає паразит. Окрім США, захворювання реєстрували також в Англії, Чехії, Словаччині, Австралії та декількох африканських країнах. А от в українській науковій літературі станом на сьогодні повідомляли лише про один випадок зараження неглерією, але його не згадують в офіційних джерелах, зокрема в Міністерстві охорони здоров’я. Тож прісні водойми нашої країни можна вважати вільними від ласої до мозку амеби — принаймні наразі. Дослідники ж наголошують, що через зміну клімату вона цілком може розширити ареал свого існування. Але навіть тоді неглерія селитиметься лише в прісній воді, адже не здатна вижити в солоному середовищі, наприклад, у морі чи океані.
Географічний розподіл зареєстрованих випадків первинного амебного менінгоенцефаліту в період з 1962 по 2023 рік. На карті позначені регіони з найвищою частотою зараження цим патогеном. ScienceDirect
Навіть якщо випити забруднену воду, це не призведе до амебного менінгоенцефаліту: у процес зараження залучений лише нюховий шлях. Тож найкращий спосіб запобігти хворобі, — не купатися в незнайомих прісних водоймах. А якщо вже дуже хочеться — використовувати затискачі для носа під час пірнання.
